Same Day Crowns in Manchester, NH: CEREC Crowns Dentist
Get Your CEREC Same-Day Crowns in Manchester, NH
One of the most frustrating things about cosmetic dentistry is waiting for your veneers or crowns to arrive. While we work with some of the best labs in the state, we can also offer a high-quality, same-day alternative using CEREC. This state-of-the-art facility lets us use digital impressions to produce same-day crowns without the need for intermediate or temporary products.
What are CEREC Crowns?
The traditional cosmetic dentistry process for crowns requires at least two visits to the dental office, mainly because we can’t manufacture dental prosthetics on-site. Instead, we send digital impressions of your teeth to a dental lab that manufactures your custom crown. This process often results in a delay while we wait for your new crowns to arrive.
CEREC stands for Chairside Economical Restoration of Esthetic Ceramics. It’s a mouthful, but simply put, it is a digital printing technology that lets us create in-house prosthetics without having to wait for a third-party dental lab.
CEREC combines digital technology with state-of-the-art milling and firing to produce accurate, precision-fit prosthetics in a couple of hours. We first create a digital impression of the tooth and use our 3D software to model the crown or veneer. Once we’re satisfied, the CEREC machine mills and fires the ceramic prosthetic in-house. Instead of waiting two to three weeks, you can run some errands and come back to finish off your procedure on the same day.
We can use CEREC to produce many different products, including crowns, dental implants, onlays, and overlays. This revolutionary dental technology allows us to streamline your cosmetic dentistry process, meaning less time at the dental office and more time enjoying your new smile.
The Difference Between CEREC and Traditional Crowns
The main difference between CEREC crowns and traditional dental crowns is the time it takes to manufacture and install them. Traditional crowns require two visits—one to prepare the tooth, which ensures a snug and natural fit for the crown, and the second visit to install the permanent prosthetic.
We usually give our patients temporary crowns while waiting for their second appointment to protect the tooth and ensure comfort. Since we can produce on-demand crowns using CEREC, we don’t need to provide temporary dental crowns.
One other difference is the materials used in CEREC crowns and traditional dental crowns. CEREC uses a porcelain-type ceramic that is tooth-colored so that it won’t stand out from the rest of your teeth. Due to the quick-firing process, CEREC porcelain is slightly less durable than traditional porcelain, but it’s still strong enough to handle decades of wear and tear.
The Benefits of CEREC
CEREC same-day crowns in Manchester, NH, offer several advantages over traditional crowns. The most significant advantage is the time it saves and the fact that you don’t need a temporary crown while waiting two to three weeks.
The high-quality natural tooth-colored porcelain will fit seamlessly onto your existing tooth while protecting it from further damage. It’s an excellent option for almost all of our patients and one that we strongly recommend.
The one drawback of CEREC is that it still takes several hours to manufacture the CEREC crown. Some people prefer spacing out their dental visits, while others don’t mind spending the whole day at the dental office.
At Mann Family Dental, we aim to make your cosmetic dentistry experience as comfortable as possible. We’ll schedule your appointments to suit your needs and even offer sedation dentistry to ease your discomfort and anxiety.
Is CEREC the Right Choice?
In most cases, we think that CEREC is an excellent choice for dental restoration work. We can produce high-quality prosthetics in a fraction of the time, meaning that we can accelerate the restoration process and give you a great smile even sooner.
While CEREC is the latest in dental technology, it’s surprisingly affordable. Most dental plans will cover at least part of the restoration cost, similar to traditional crowns. At Mann Family Dental, we believe that everyone should be confident of their smile, which is why we have several financing options available. No matter what your budget, we’ll have a solution for you.


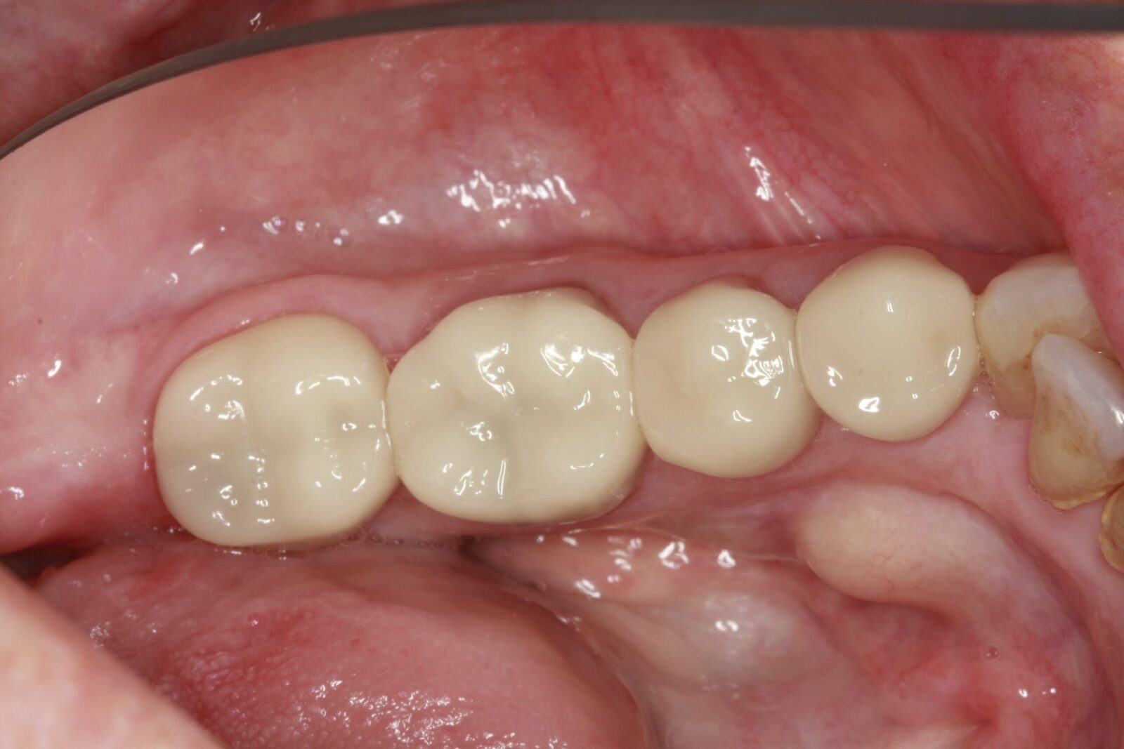
The before photo is the patient’s teeth that needed treatment. Our treatment plan was to fit and insert 4 same-day Cerec crowns to remove decay and restore esthetics and function. The patient arrived in the morning, the teeth were numbed and prepared for the new crowns, digitally scanned with the Cerec PrimScan camera, designed, milled and fired in a special oven while the patient relaxed in the dental chair. The 4 crowns were then fitted and inserted that same day. Complete treatment in one visit – No waiting and No temporaries!
Call Mann Family Dental for CEREC
If you’re interested in getting CEREC same-day crowns in Manchester, NH, give Mann Family Dental a call at (866) 393-3402 today!