Porcelain Crown Vs. Metal Crown: Making an Informed Decision for Your Smile

Dental crowns are a popular and excellent option when restoring damaged or decayed teeth. They can help restore the appearance of your smile and provide strength and protection to weakened teeth. However, with different dental crowns available, choosing the right one for your specific needs can be challenging.

This blog post will compare two commonly used materials: metal crown and porcelain. By understanding their pros and cons, you can make an informed decision for your smile.

What Are Dental Crowns?

Dental crowns (also known as dental caps or tooth caps) are custom-made tooth-shaped caps that cover the entire visible surface of a damaged or decayed tooth. They are designed to improve the tooth’s appearance, shape, and functionality while providing strength and protection.

Who Can Use Dental Crowns?

These dental restorations can be used by individuals with certain dental conditions or requiring specific dental treatments.

Here are some common situations where dental crowns may be recommended:

  • Tooth decay. When a tooth has extensive decay that cannot be repaired with a dental filling, a crown can be placed to restore the tooth’s shape, function, and strength.
  • Cracked or fractured teeth. A dental crown can protect and strengthen teeth that are cracked or fractured. The crown holds the tooth together and prevents further damage.
  • Root canal treatment. After a root canal procedure, a dental crown is often placed on top of the treated tooth to provide added strength and protection.
  • Worn-down or damaged teeth. Teeth that are severely worn down due to grinding or other factors can benefit from dental crowns. The crown restores the original shape and function of the tooth.
  • Discolored or misshapen teeth. Dental crowns can be used to improve the appearance of teeth that are severely discolored or misshapen, enhancing the overall aesthetics of the smile.
  • Dental bridges. Dental crowns are essential during dental bridge treatment. They are placed on the adjacent teeth to support the bridge and replace missing teeth.
  • To cover dental implants. Dental crowns can be placed on top of an abutment connected to the implant, functioning as replacement teeth for lost teeth.

Types of Crowns and Their Pros and Cons

1. All-Porcelain Crowns

Porcelain crowns are made from a type of dental ceramic material that closely resembles your teeth’s natural color and translucency. They can be an excellent choice for front teeth and highly visible areas because of their aesthetic appeal.

Pros:

  • Natural appearance. Porcelain crowns blend seamlessly with surrounding teeth, creating a natural-looking smile.
  • Biocompatible. Porcelain is a biocompatible material that is less likely to cause allergic reactions or gum irritation.
  • Stain-resistant. Being resistant to staining and discoloration is a notable benefit of porcelain crowns. These allow them to maintain their natural appearance over time.

Cons:

  • Less durable. Porcelain crowns are not as strong as metal crowns and may be prone to chipping or cracking under excessive pressure.
  • Requires more tooth preparation. Porcelain crowns often require more tooth structure to be removed during preparation than metal crowns.

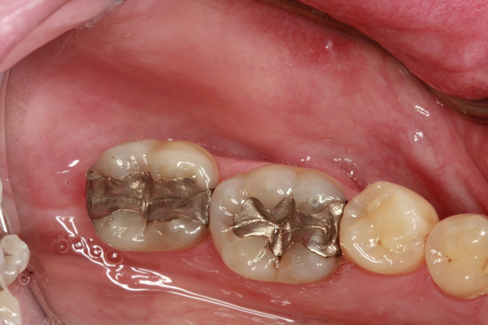
2. Metal Crowns

Metal crowns, often made from gold, platinum, or palladium alloys, provide exceptional strength and durability. They are typically used for molars and teeth that are not highly visible.

Pros:

  • Durability. Metal crowns are highly durable and can withstand the biting and chewing forces in the back of the mouth.
  • Minimal tooth preparation. Metal crowns require less removal of tooth structure during preparation, preserving more of the natural tooth.

Cons:

  • Aesthetics. Metal crowns are not as aesthetically pleasing as porcelain crowns due to their metallic color.
  • Allergy concerns. Patients with metal allergies may not be suitable candidates for metal alloy crowns.

3. All-Ceramic Crowns

All-ceramic crown types are made of ceramic that offers excellent aesthetics and strength. They are ideal for individuals who desire a natural-looking smile without compromising durability.

Pros:

  • Aesthetic appeal. Ceramic crowns mimic the natural look of teeth, providing a beautiful smile.
  • Biocompatible. Ceramic is biocompatible, making it safer for individuals with metal allergies.

Cons:

  • Not as strong as metal crowns. Ceramic crowns may not be as durable as metal crowns and may be prone to fracture under excessive force.

4. Zirconia Crowns

Zirconium crowns are made from zirconium oxide, a strong and durable material that can withstand the forces of chewing and grinding.

Pros:

  • Strength. Being highly resistant to fracture is one of the advantages of zirconia crowns, making them an excellent choice for molars and individuals with heavy biting forces.
  • Aesthetic options. Zirconia crowns can be customized to match the color and shape of surrounding teeth.

Cons:

  • Less translucency. Compared to porcelain or ceramic crowns, zirconia crowns may lack natural translucency.

5. Composite Resin Crowns

Composite resin crowns are made from a tooth-colored filling material and are an affordable alternative to other types of dental crowns. They are often used to make temporary crowns that your dentist places on your prepared tooth while waiting for your permanent crown.

Pros:

  • Affordability. Composite resin crowns are often more cost-effective compared to other crown materials.
  • Versatility. Composite resin crowns can be easily repaired or modified if necessary.

Cons:

  • Less durability. Composite resin crowns may not be as durable as porcelain or metal crowns and may require more frequent replacement.

6. Porcelain-Fused-to-Metal (PFM) Crowns

PFM crowns combine the strength of a metal base with a natural-looking porcelain outer layer.

Pros:

  • Aesthetic appeal. PFM crowns can provide a natural-looking appearance, as they have a porcelain exterior that can be color-matched to the surrounding teeth.
  • Strength and durability. The metal base of PFM crowns adds strength and durability, making them suitable for restoring heavily damaged or weakened teeth.
  • Biting power. PFM crowns offer improved biting power compared to all-porcelain crowns, thanks to the metal substructure providing additional support.
  • Reasonable periodontal health. PFM crowns have acceptable biocompatibility, promoting periodontal health.

Cons:

  • Visible metal dark line. A potential drawback of PFM crowns is the presence of a dark line near the gumline where the metal meets the porcelain. This can be visible, especially if gums recede over time.
  • Potential allergies. Some individuals may have allergies or sensitivities to the metals used in the base of PFM crowns.
  • Wear on adjacent teeth. The hardness of the metal in PFM crowns can cause wear on neighboring teeth over time, potentially leading to pain or infections.

Metal Vs. Porcelain Crown

When comparing metal crowns and porcelain crowns, there are key differences to consider:

Durability

Metal crowns are generally considered more durable than porcelain crowns. The metal layer in metal crowns provides strength and resistance to wear, making them less prone to chipping or breaking than porcelain crowns.

Aesthetics

Porcelain crowns are known for their natural appearance and ability to blend seamlessly with the surrounding teeth. They can be color-matched to match the patient’s natural tooth shade, making them more aesthetically pleasing, especially for front teeth.

Biocompatibility

Porcelain crowns are highly biocompatible and suitable for individuals with metal allergies or sensitivities. On the other hand, metal crowns may cause issues for those with metal allergies.

Tooth Preparation

Porcelain crowns require more tooth preparation to accommodate the porcelain material. This often involves removing more of the tooth structure. On the other hand, metal crowns require less tooth preparation due to their strength and durability.

Longevity

Metal crowns are known to have a longer lifespan compared to porcelain crowns. While porcelain crowns can last for many years, metal crowns have the potential to last even longer, especially when used for back teeth where biting forces are stronger.

Visibility

Metal crowns, particularly those made of gold or alloys, may be visible due to the metallic color when smiling or talking. Porcelain crowns, being tooth-colored, provide a more natural and inconspicuous appearance.

Cost

When comparing the metal vs. porcelain crown cost, it’s important to note that prices can vary depending on several factors, including the location, dental practice, and the patient’s specific needs.

Here are some general cost ranges according to the 2020 American Dental Association survey of dental fees:

  • Metal crowns. According to these surveys, the cost of a 3/4 cast high noble metal crown ranged from $1,121.27 to $1,168.94 in 2020
  • Porcelain crowns. The average cost of porcelain crowns, including ceramic and all-porcelain options is $1,288.07.

The choice between metal and porcelain crowns depends on several factors, including the location of the tooth, personal preference, budget, and the advice of your dentist.

Factors to Consider When Choosing a Dental Crown

  • Location of the tooth. Porcelain crowns are often recommended for front teeth or highly visible areas due to their natural appearance. On the other hand, metal crowns are commonly used for molars and teeth that are not easily seen.
  • Aesthetic preferences. If maintaining a natural and seamless smile is a top priority, porcelain crowns are an excellent choice. However, if aesthetics are not a major concern, metal crowns may be more suitable.
  • Durability requirements. If you have a habit of grinding or clenching your teeth, or if the tooth being restored is subjected to heavy chewing forces, a metal crown may be more durable and resistant to fractures.
  • Allergies and sensitivities. Some individuals may have allergies or sensitivities to certain metals used in dental crowns. If you have known allergies, discussing this with your dentist is crucial to ensure your chosen crown material is safe.
  • Cost considerations. The cost of a dental crown can vary depending on the material used. Generally, metal crowns tend to be more cost-effective compared to porcelain crowns. However, weighing the long-term benefits and potential need for future replacements is essential when considering the overall cost.
  • Longevity. Both metal and porcelain crowns can last many years with proper care and maintenance. However, metal crowns may have a slight advantage in terms of longevity due to their increased durability.

It is crucial to consult with your dentist to determine which type of crown is best suited for your specific dental needs and goals. Your dentist will assess factors such as the condition of the tooth, your oral health, and any specific concerns you may have.

Conclusion

Choosing between a porcelain crown and a metal crown is a decision that should be made after careful consideration of several factors. While porcelain crowns offer superior aesthetics and a natural appearance, metal crowns provide excellent durability and strength. Factors such as location, personal preferences, budget, and your dentist’s advice should all be considered when making this decision.

If you’re considering this treatment, we encourage you to book an appointment with us. We can guide you through the process and help you make an informed decision that best suits your needs.